CHÀO MỪNG QUÝ KHÁCH ĐẾN VỚI NHÀ THUỐC HỒNG VÂN
Hệ thống nhà thuốc Hệ thống nhà thuốc
header-desktop-img-left header-desktop-img-right
CHÀO MỪNG QUÝ KHÁCH ĐẾN VỚI NHÀ THUỐC HỒNG VÂN

Góc sức khoẻ

Bài viết nổi bật

TRA CỨU THUỐC CHÍNH HÃNG – AN TÂM SỬ DỤNG

NHÀ THUỐC HỒNG VÂN CAM KẾT MINH BẠCH TỪNG VIÊN THUỐC Bạn đang lo lắng không biết loại thuốc mình đang sử dụng có phải là thuốc chính hãng? Bạn băn khoăn liệu sản phẩm mình cầm trên tay có được Bộ Y tế cấp phép lưu hành? Tại Nhà thuốc Hồng Vân, mỗi sản phẩm đều rõ ràng nguồn gốc – minh bạch thông tin – cam kết chính hãng. Đặc biệt, quý khách hoàn toàn có thể tự tra cứu số đăng ký thuốc trên Cổng thông tin của Bộ Y tế để kiểm tra độ an toàn và xác minh thuốc đang dùng.

21/05/2025 1023
Cúm mùa tại Nhật do virus Influenza có nguy cơ gây tử vong

Trong những năm gần đây số ca nhiễm virus Influenza đang gia tăng, và đáng báo động hơn, có những trường hợp tử vong. Đặc biệt, người già, trẻ nhỏ và những người có bệnh nền là những đối tượng dễ bị tổn thương nhất. Bài viết này sẽ cung cấp cho bạn thông tin chi tiết về tình hình cúm mùa ở Nhật Bản, nguyên nhân, triệu chứng, cách phòng tránh và điều trị hiệu quả. Hãy cùng tìm hiểu để bảo vệ bản thân và gia đình nhé!

13/02/2025 191

Bài viết mới nhất

Ung thư túi mật là gì? Những điều cần biết về ung thư túi mật

30/11/2024

Ung thư túi mật là một trong những loại ung thư hiếm gặp nhưng rất nguy hiểm, ảnh hưởng đến chức năng tiêu hóa và sức khỏe tổng quát của người bệnh. Bài viết dưới đây sẽ cung cấp cho bạn một cái nhìn tổng quan về căn bệnh này, từ triệu chứng, nguyên nhân, đối tượng nguy cơ, cho đến các phương pháp chẩn đoán, phòng ngừa và điều trị.

Xem chi tiết
Dấu hiệu nhận biết ung thư hạch sớm

30/11/2024

Ung thư hạch, hay còn gọi là lymphoma, là một loại ung thư ảnh hưởng đến hệ thống lympho của cơ thể, bao gồm các hạch lympho và mô bạch huyết. Việc nhận diện sớm các dấu hiệu của ung thư hạch là rất quan trọng vì điều này có thể cải thiện đáng kể hiệu quả điều trị và tiên lượng bệnh. Ung thư hạch có thể phát triển chậm và không có triệu chứng rõ ràng ở giai đoạn đầu, nhưng nếu được phát hiện sớm, nó có thể được điều trị hiệu quả hơn. Trong bài viết này, chúng ta sẽ khám phá các triệu chứng thường gặp, dấu hiệu sớm của ung thư hạch, và những tình huống cần đi khám bác sĩ để quản lý bệnh kịp thời.

Xem chi tiết
Thực phẩm an toàn dành cho người bị ung thư xương

30/11/2024

Ung thư xương là một trong những căn bệnh hiểm nghèo, gây ảnh hưởng lớn đến chất lượng cuộc sống của bệnh nhân. Chế độ dinh dưỡng đóng vai trò quan trọng trong việc hỗ trợ điều trị và tăng cường sức khỏe cho người bệnh. Hãy cùng tìm hiểu về ung thư xương, những thực phẩm nên và không nên ăn, cùng các lưu ý quan trọng để phòng bệnh.

Xem chi tiết
Ung thư não: Nguyên nhân, triệu chứng và cách điều trị hiệu quả

30/11/2024

Ung thư não là một bệnh lý nguy hiểm, ảnh hưởng trực tiếp đến hệ thống thần kinh trung ương và có thể gây ra nhiều biến chứng nghiêm trọng. Việc hiểu rõ nguyên nhân gây bệnh, nhận biết sớm các triệu chứng, áp dụng các phương pháp chẩn đoán hiện đại và điều trị hiệu quả là cực kỳ quan trọng để nâng cao chất lượng cuộc sống cho người bệnh. Bài viết này sẽ cung cấp những thông tin cần thiết về ung thư não nhằm giúp bạn có cái nhìn tổng quan và kiến thức để đối phó với căn bệnh này.

Xem chi tiết
Ung thư xương: Cảnh báo nguy cơ từ bệnh

30/11/2024

Ung thư xương là một căn bệnh hiểm nghèo, ảnh hưởng lớn đến chất lượng cuộc sống của người bệnh. Việc hiểu rõ nguyên nhân, nhận diện nguy cơ và áp dụng các phương pháp điều trị kịp thời là rất quan trọng. Bài viết dưới đây sẽ giúp bạn hiểu rõ hơn về ung thư xương, các nguy cơ tiềm ẩn và cách điều trị hiệu quả.

Xem chi tiết
Ung thư não có di truyền không? Điều bạn cần biết

30/11/2024

Ung thư não là một bệnh lý nghiêm trọng ảnh hưởng đến hàng triệu người trên toàn thế giới. Mặc dù nguyên nhân gây ra ung thư não có thể phức tạp và đa dạng, các yếu tố di truyền đóng vai trò quan trọng trong việc xác định nguy cơ mắc bệnh. Hiểu rõ về nguyên nhân, yếu tố nguy cơ, vai trò của di truyền và các biện pháp phòng ngừa là cần thiết để bảo vệ sức khỏe của bạn và gia đình

Xem chi tiết
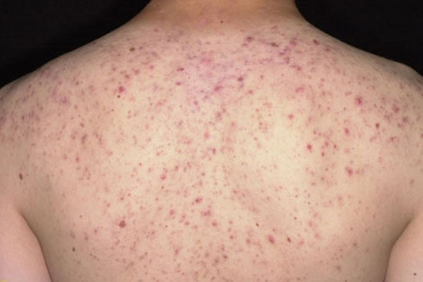
Mụn Ở Tuổi Dậy Thì: Nguyên Nhân Và Cách Điều Trị

30/11/2024

Giai đoạn dậy thì là giai đoạn mà cơ thể có nhiều thay đổi về hormone khiến tuyến dầu nhờn ở da hoạt động mạnh hơn – kết hợp với vi khuẩn gây mụn sinh ra khi lỗ chân lông bị bít tắc làm tăng nguy cơ nổi mụn.Vậy cách trị mụn hiệu quả nhất ở tuổi dậy thì như thế nào? 

Xem chi tiết
Bệnh ung thư xương có di truyền không?

30/11/2024

Ung thư xương là một bệnh lý nghiêm trọng ảnh hưởng đến cấu trúc và chức năng của xương. Hiểu rõ về bệnh, các giai đoạn phát triển, khả năng di truyền và biện pháp giảm thiểu nguy cơ mắc bệnh là điều cần thiết để bảo vệ sức khỏe của bạn và người thân.

Xem chi tiết
Ung thư hạch không Hodgkin và Hodgkin: Sự khác biệt là gì?

30/11/2024

Ung thư hạch là một loại ung thư ảnh hưởng đến hệ bạch huyết, một phần quan trọng trong hệ thống miễn dịch của cơ thể. Hệ bạch huyết bao gồm các hạch bạch huyết, lách, tuyến ức và tủy xương. Khi hệ thống này bị ảnh hưởng bởi ung thư, có thể dẫn đến hai loại chính: ung thư hạch Hodgkin (HL) và ung thư hạch không Hodgkin (NHL). Dù cả hai loại đều có thể gây ra triệu chứng tương tự và ảnh hưởng đến các hạch bạch huyết, chúng khác nhau về nhiều khía cạnh quan trọng, bao gồm triệu chứng, chẩn đoán và phương pháp điều trị. Việc hiểu rõ sự khác biệt giữa ung thư hạch Hodgkin và không Hodgkin có thể giúp bệnh nhân và bác sĩ đưa ra quyết định điều trị phù hợp và hiệu quả hơn.

Xem chi tiết
Ung thư hạch có di truyền không?

30/11/2024

Ung thư hạch là một nhóm bệnh ung thư ảnh hưởng đến hệ bạch huyết, phần của hệ miễn dịch giúp bảo vệ cơ thể khỏi các tác nhân gây bệnh. Một câu hỏi quan trọng thường được đặt ra là liệu ung thư hạch có yếu tố di truyền hay không. Hiểu rõ về yếu tố di truyền có thể giúp chúng ta nhận diện nguy cơ sớm hơn và thực hiện các biện pháp phòng ngừa phù hợp. Bài viết này sẽ khám phá các nghiên cứu về yếu tố di truyền liên quan đến ung thư hạch, ảnh hưởng của tiền sử gia đình và các biện pháp phòng ngừa cho người có nguy cơ cao.

Xem chi tiết
Cách chẩn đoán bệnh ung thư lưỡi

30/11/2024

Ung thư lưỡi là một căn bệnh nghiêm trọng nhưng có thể được phát hiện và điều trị hiệu quả nếu được chẩn đoán sớm. Bài viết này sẽ giúp bạn hiểu rõ hơn về dấu hiệu, nguyên nhân và các phương pháp chẩn đoán bệnh ung thư lưỡi.

Xem chi tiết
Cách phòng ngừa ung thư não bạn cần biết

30/11/2024

Ung thư não là một bệnh lý nghiêm trọng, có thể ảnh hưởng đến bất kỳ ai. Mặc dù không thể ngăn ngừa hoàn toàn, bạn có thể giảm nguy cơ mắc bệnh bằng cách hiểu rõ về các yếu tố nguy cơ, áp dụng các thói quen sinh hoạt lành mạnh và kiểm tra sức khỏe định kỳ. Bài viết này sẽ cung cấp cho bạn thông tin cần thiết để bảo vệ sức khỏe não bộ và phòng ngừa ung thư não hiệu quả.

Xem chi tiết
Uy tín since 1993
Uy tín since 1993

Uy tín vững chắc, là nền tảng cho sự tin cậy

chính hãng 100%
chính hãng 100%

Uy tín vững chắc, là nền tảng cho sự tin cậy

giao hàng toàn quốc
giao hàng toàn quốc

Uy tín vững chắc, là nền tảng cho sự tin cậy

chính sách đổi trả
chính sách đổi trả

Uy tín vững chắc, là nền tảng cho sự tin cậy

Hệ thống nhà thuốc từ năm 1993
wiget Chat Zalo
Messenger Chat