CHÀO MỪNG QUÝ KHÁCH ĐẾN VỚI NHÀ THUỐC HỒNG VÂN
Hệ thống nhà thuốc Hệ thống nhà thuốc
header-desktop-img-left header-desktop-img-right
CHÀO MỪNG QUÝ KHÁCH ĐẾN VỚI NHÀ THUỐC HỒNG VÂN

Ung thư hạch không Hodgkin và Hodgkin: Sự khác biệt là gì?

Ngày 30-11-2024 Lượt xem 31
Ung thư hạch không Hodgkin và Hodgkin: Sự khác biệt là gì?

Ung thư hạch là một loại ung thư ảnh hưởng đến hệ bạch huyết, một phần quan trọng trong hệ thống miễn dịch của cơ thể. Hệ bạch huyết bao gồm các hạch bạch huyết, lách, tuyến ức và tủy xương. Khi hệ thống này bị ảnh hưởng bởi ung thư, có thể dẫn đến hai loại chính: ung thư hạch Hodgkin (HL) và ung thư hạch không Hodgkin (NHL). Dù cả hai loại đều có thể gây ra triệu chứng tương tự và ảnh hưởng đến các hạch bạch huyết, chúng khác nhau về nhiều khía cạnh quan trọng, bao gồm triệu chứng, chẩn đoán và phương pháp điều trị. Việc hiểu rõ sự khác biệt giữa ung thư hạch Hodgkin và không Hodgkin có thể giúp bệnh nhân và bác sĩ đưa ra quyết định điều trị phù hợp và hiệu quả hơn.

Định nghĩa và mô tả từng loại

Ung thư hạch Hodgkin (HL)

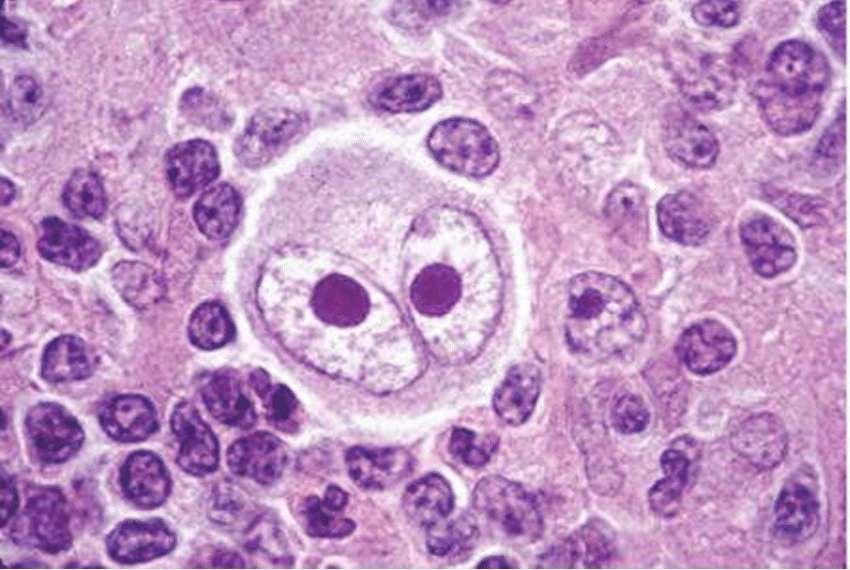
Ung thư hạch Hodgkin là một loại ung thư hạch hiếm gặp, chiếm khoảng 10% của tất cả các trường hợp ung thư hạch. Đặc điểm chính của bệnh là sự hiện diện của tế bào Reed-Sternberg trong mô lympho. Tế bào Reed-Sternberg là tế bào bạch huyết bất thường, lớn và dễ nhận biết dưới kính hiển vi. Bệnh thường bắt đầu ở một hoặc nhiều hạch bạch huyết và có thể lan ra các bộ phận khác của cơ thể. Ung thư hạch Hodgkin thường gặp ở người trẻ tuổi và có tỷ lệ chữa khỏi cao hơn so với nhiều loại ung thư hạch khác.

Tế bào Reed-Sternberg, đặc trưng của ung thư hạch Hodgkin
Tế bào Reed-Sternberg, đặc trưng của ung thư hạch Hodgkin

Ung thư hạch không Hodgkin (NHL)

Ung thư hạch không Hodgkin là một nhóm bệnh ung thư hạch rất đa dạng, bao gồm nhiều loại khác nhau, chiếm khoảng 90% số ca ung thư hạch. NHL không có tế bào Reed-Sternberg và có thể phát triển từ bất kỳ loại tế bào bạch huyết nào. Các loại NHL có thể được phân loại thành hai nhóm chính: loại phát triển nhanh (aggressive) và loại phát triển chậm (indolent). NHL có thể xuất hiện ở các hạch bạch huyết, tủy xương, lách, hoặc các cơ quan khác, và thường liên quan đến một số yếu tố nguy cơ như hệ miễn dịch suy yếu hoặc các bệnh tự miễn.

Các triệu chứng khác nhau

Triệu chứng của ung thư hạch Hodgkin:

  • Hạch bạch huyết to: Thường là hạch ở cổ, nách hoặc háng, không đau và có thể cảm nhận được dễ dàng.
  • Sốt không rõ nguyên nhân: Sốt có thể kéo dài và không có dấu hiệu nhiễm trùng.
  • Ra mồ hôi đêm: Mồ hôi đêm nhiều đến mức làm ướt đẫm ga trải giường hoặc quần áo.
  • Sụt cân nhanh chóng: Giảm cân mà không có thay đổi trong chế độ ăn uống hoặc lối sống.

Triệu chứng của ung thư hạch không Hodgkin:

  • Hạch bạch huyết sưng: Hạch bạch huyết sưng có thể xuất hiện ở nhiều vị trí khác nhau, thường không đau.
  • Đau bụng hoặc ngực: Nếu bệnh ảnh hưởng đến các cơ quan nội tạng, có thể gây đau bụng hoặc cảm giác đầy bụng.
  • Khó thở: Đặc biệt khi ung thư lan đến phổi hoặc ảnh hưởng đến các cơ quan hô hấp.
  • Sốt, mồ hôi đêm, và sụt cân: Các triệu chứng này có thể xuất hiện nhưng thường không đồng thời và có thể nhẹ hơn so với ung thư hạch Hodgkin.
Hạch bạch huyết sưng, triệu chứng phổ biến của ung thư hạch không Hodgkin
Hạch bạch huyết sưng, triệu chứng phổ biến của ung thư hạch không Hodgkin

Phương pháp điều trị khác biệt

Điều trị ung thư hạch Hodgkin:

  • Hóa trị: Đây là phương pháp điều trị chính, thường sử dụng các loại thuốc như ABVD (Adriamycin, Bleomycin, Vinblastine, Dacarbazine) để tiêu diệt tế bào ung thư.
  • Xạ trị: Có thể được sử dụng cùng với hóa trị, đặc biệt là khi bệnh chưa lan rộng, để tiêu diệt các tế bào ung thư còn sót lại.
  • Liệu pháp nhắm mục tiêu và miễn dịch: Trong một số trường hợp, các loại thuốc nhắm mục tiêu hoặc liệu pháp miễn dịch có thể được sử dụng để điều trị ung thư hạch Hodgkin.

Điều trị ung thư hạch không Hodgkin:

  • Hóa trị: Có thể sử dụng các loại thuốc khác nhau tùy thuộc vào loại và giai đoạn của NHL. Một số loại hóa trị bao gồm CHOP (Cyclophosphamide, Doxorubicin, Vincristine, Prednisone).
  • Xạ trị: Thường được áp dụng cho các trường hợp NHL khu trú hoặc trong các khu vực cụ thể.
  • Liệu pháp nhắm mục tiêu: Sử dụng các thuốc đặc biệt để nhắm vào các tế bào ung thư hoặc các yếu tố quan trọng trong sự phát triển của bệnh.
  • Liệu pháp miễn dịch: Được áp dụng cho một số loại NHL, giúp kích thích hệ miễn dịch của cơ thể chống lại tế bào ung thư.

Kết luận

Ung thư hạch Hodgkin và không Hodgkin đều là những bệnh ung thư nghiêm trọng ảnh hưởng đến hệ bạch huyết, nhưng chúng có nhiều sự khác biệt về triệu chứng, chẩn đoán và phương pháp điều trị. Sự hiểu biết về các đặc điểm và phương pháp điều trị của từng loại ung thư hạch là rất quan trọng để bệnh nhân và bác sĩ có thể đưa ra các quyết định điều trị hợp lý và cải thiện cơ hội điều trị thành công. Nếu bạn gặp phải triệu chứng nghi ngờ hoặc có nguy cơ mắc bệnh, hãy tìm đến bác sĩ để được khám và chẩn đoán sớm.

Thông tin và sản phẩm gợi ý trong bài viết chỉ mang tính chất tham khảo, vui lòng liên hệ với Bác sĩ, Dược sĩ hoặc chuyên viên y tế để được tư vấn cụ thể. Xem thêm

Tìm kiếm
Uy tín since 1993
Uy tín since 1993

Uy tín vững chắc, là nền tảng cho sự tin cậy

chính hãng 100%
chính hãng 100%

Uy tín vững chắc, là nền tảng cho sự tin cậy

giao hàng toàn quốc
giao hàng toàn quốc

Uy tín vững chắc, là nền tảng cho sự tin cậy

chính sách đổi trả
chính sách đổi trả

Uy tín vững chắc, là nền tảng cho sự tin cậy

Hệ thống nhà thuốc từ năm 1993
wiget Chat Zalo
Messenger Chat