Bệnh màng trong là một loại bệnh lý thường xảy ra ở nhóm trẻ sinh non. Đây là một trong những nguyên nhân hàng đầu gây tử vong ở trẻ sơ sinh. Bài viết này sẽ giúp bạn hiểu rõ hơn về các nguyên nhân, triệu chứng và phương pháp điều trị bệnh màng trong ở trẻ sơ sinh.
Nguyên nhân chính của bệnh màng trong là do sự phát triển chưa hoàn chỉnh của đường hô hấp và thiếu hụt surfactant. Surfactant là một chất quan trọng trên bề mặt bên trong của túi phế nang, giúp duy trì sức căng bề mặt của phổi. Ở những thai nhi khỏe mạnh, surfactant bắt đầu tiết từ tuần thai thứ 20 và hoàn tất vào tuần thai thứ 32. Tuy nhiên, trẻ sinh non, đặc biệt là trẻ sinh trước 28 tuần, thường thiếu hụt surfactant, dẫn đến xẹp phổi và gây rối loạn hô hấp.
Surfactant là một chất hoạt động bề mặt trong phế nang của phổi, giúp duy trì sức căng bề mặt của các túi phế nang và ngăn chúng bị xẹp trong quá trình hô hấp.

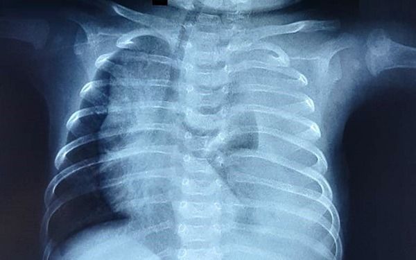
Bệnh màng trong ở trẻ sơ sinh thường biểu hiện với tình trạng suy hô hấp cấp tính sau khi sinh. Các triệu chứng thường khởi phát trong vòng 6 giờ đầu sau khi sinh. Các triệu chứng chính bao gồm:
Nếu không phát hiện và điều trị kịp thời, bệnh màng trong có thể gây biến chứng nghiêm trọng và thậm chí tử vong.

Hiệu quả của phương pháp điều trị bệnh màng trong ở trẻ sơ sinh phụ thuộc vào thời điểm phát hiện bệnh. Phát hiện sớm ngay sau khi sinh có thể tăng khả năng điều trị thành công.
Phương pháp điều trị đặc hiệu cho bệnh màng trong là bổ sung surfactant chủ động. Surfactant có thể là từ tự nhiên hoặc được tổng hợp, và được đưa vào phổi qua đường nội khí quản. Điều trị surfactant hiệu quả nhất khi được thực hiện sớm trước khi các triệu chứng suy hô hấp trở nên nghiêm trọng.
Surfactant là một chất quan trọng trên bề mặt bên trong của túi phế nang, giúp duy trì sức căng bề mặt của phổi.
Ngoài phương pháp điều trị đặc hiệu, việc điều trị hỗ trợ cũng rất quan trọng trong quá trình chăm sóc trẻ mắc bệnh màng trong. Các biện pháp điều trị hỗ trợ bao gồm:
Hy vọng qua bài viết này, bạn đã hiểu rõ hơn về bệnh màng trong ở trẻ sơ sinh. Để tránh biến chứng và cải thiện cơ hội sống sót của trẻ, việc nhận biết sớm triệu chứng và điều trị kịp thời rất quan trọng. Hãy luôn đảm bảo một quy trình quản lý thai kỳ tốt để dự phòng bệnh màng trong và các vấn đề khác trong quá trình mang bầu.
Thông tin và sản phẩm gợi ý trong bài viết chỉ mang tính chất tham khảo, vui lòng liên hệ với Bác sĩ, Dược sĩ hoặc chuyên viên y tế để được tư vấn cụ thể. Xem thêm
Uy tín vững chắc, là nền tảng cho sự tin cậy
Uy tín vững chắc, là nền tảng cho sự tin cậy
Uy tín vững chắc, là nền tảng cho sự tin cậy
Uy tín vững chắc, là nền tảng cho sự tin cậy